入院:2018-11   出院:术后一周
温柔阳光与无良腹黑兼有,体贴细致和严厉果断并存。
危急时刻冷静沉着,总是独守着内心的伤痛,展示给每一个人笑脸……

Binggo~
他就是“宇宙男神”——旗木卡卡西!
但这次不谈忍者“卡卡西”,分享一个来自汪星的“卡卡 · 希”。
初见时惊鸿一瞥,南柯一梦是你
麻麻一直以来都有个愿望,就是拥有一只属于自己的“小可爱”,奈何家里已经人丁兴旺,父母不同意继续增添“新人”。
八年前,麻麻独自一人在上海求学时,这个“谈判”已久的条例,终于有了新的章程。
做足了准备工作的麻麻激动不已——这么多年的愿望终于可以落地生根发芽啦!

于是,第一时间和北京的卖家朋友取得联系,卖家给麻麻发了很多狗狗的图片。
但弱水三千,我只取一瓢饮。
麻麻凭借着“眼缘”和“感觉”选择了现在的贵宾卡卡,决定与它携手一生。
这一眼,便是初见。
重逢时始料未及、别来无恙也是你
认定挚爱,择个黄道吉日,该策划一场期待已久的相见了。
这一天麻麻提前很久到了机场,一路上都在幻想见到卡卡本犬的情景,不自觉的嘴角上扬起来,眼底里尽是幸福。
无声的期盼中,飞机终于落地了。

熙熙攘攘的人群里,麻麻的眼神自动屏蔽无关的人和物。
终于,那一秒眼神碰撞;
那一刻怦然心动;
那一次紧紧相拥,麻麻和日思夜想的卡卡得以团聚!
你的名字,我的姓氏
回到家中,粑粑麻麻“为封卡卡之名,乃迁思回虑,总两人之议”。
灵机一动,发现麻麻名字里面有个“希”字。
恰巧和动漫偶像“卡卡西”的“西”谐音,所以“封名”卡卡,随母姓“希”。

得了名的它常伴麻麻左右,游山玩水看世界。
整日像粘皮糖一样离不开麻麻半步,即便是上厕所这样私密的事情,也要麻麻守在旁边。
身为吃货的它最喜欢吃麻麻亲手烤的鸡胸肉,一片不够两片,凭本事把自己升级为“灵活的胖子”。

玩具也要是玉米味儿的呢~
心心恹恹,病起所幸身犹健
不知不觉中,幸福平静的日子已有八年。
卡卡见证了粑粑麻麻从“羞涩小情侣”到携手步入婚姻的过程,所以“官方权威证婚汪”当之无愧。
像童话故事里一样,结局应该是:从此一家三口过上了幸福的生活……

但卡卡在今年十一月份按了“暂停键”~
11月27号早上开始,卡卡就呕吐不止。
9月份时候它也呕吐过一次,但很快就自己恢复了,所以并没有引起麻麻的注意。

但这一次,卡卡像是认真的,从早到晚持续吐了十几次,身为吃货的它被折腾的一整天滴水未进,精神极度萎靡,和平时“判若两狗”。
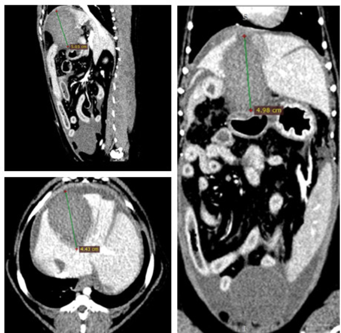
麻麻发现情况不妙,当天晚上就带着它狂奔无锡当地的宠物医院,医生通过B超发现它肝旁边有个不明肿块,怀疑是肿瘤。

接诊医生相当负责,为了进一步确诊病因,推荐到上海爱侣宠物医院兽医CT/MRI影像诊断中心,进行高端影像诊断。
那几日,虽不是隆冬,但受冷空气影响,温度骤然变低,冷到一张嘴就哈出白气,但麻麻为了让卡卡尽快接受治疗,依然带它冒着寒流来到上海。

到医院时天色已晚,已经下班的院长杨其清博士坚持为这位“远道客人”接了诊。
临床诊断发现它坐卧不安,呼吸沉重,伴随恶心的症状。随后B超发现了3-5公分回声不均的团块,为了判断这个团块,院长又给卡卡安排了进一步检查——CT扫描。

通过CT结果,确诊卡卡是患了胆囊黏液肿,如果穿孔则会引起腹膜炎,生命危在旦夕;根据目前的患病情况,院长给卡卡制定了最有效的的治疗方案——胆囊切除手术!

卡卡在院长杨其清博士娴熟的医术下,顺利的结束了手术,护士姐姐担心虚弱的它怕冷,在厚厚的毛毯下还特意加了电热毯。
住院期间,粑粑麻麻为了陪伴它一起战胜病魔,两人几乎是全天守在医院,卡卡大多数时间都是在粑粑麻麻怀里度过的,一个人抱累了就换另一个。实在困到不行才愿意返回医院附近的酒店,一大早又赶过来继续陪它。

在这般精心的照顾下,术后并发症依然来势汹汹,卡卡的肝脏肾脏指标爆表,并发全身黄疸。
经过诊断是急性肾功能损伤,粑粑麻麻得知后心急如焚,恳求医生不惜一切代价也要治愈它!

紧急情况下,院长杨其清博士又为卡卡针对性的制定了“护肾保肝”的方案,如果内科治疗没有效果,再考虑肾脏代替疗法。
幸运的是,经过及时抢救,卡卡的肾脏指标在第三天奇迹般地恢复到正常范围。心如火燎的粑粑麻麻才稍稍平静下来。
“从小就很乖,从来没有离开过我,这次突然病倒了真的把我吓坏了……”麻麻说着,眼眶又湿润了。
然而,病魔并没有就此善罢甘休。

就在肾脏恢复正常的次日,卡卡的腹部出现肿大,这让心情刚刚平复的麻麻更加惶惶不安。
院长杨其清博士立即通过超声为卡卡检查,诊断为腹部积液,根据以往经验判断,潜在原因可能是腹膜炎或低蛋白血症,通过化验腹水成分,最终确诊卡卡患了低蛋白血症,随后及时为它补充白蛋白。
命悬一线,只有40%存活率的卡卡,在精确的诊断治疗下病情终于得到抑制并好转。
术后一周,卡卡身体各方面指标完全恢复了正常,粑粑麻麻悬在半空的心也终于落地了!
你赐我一生浮华,我许你满世繁花
回家后,在麻麻精心照料下,卡卡逐渐恢复元气,照顾它的这几天麻麻很是劳累,但从她的神情里,感受到更多的是幸福~

麻麻经常性一个人在家,粑粑不在的时候,就由卡卡充当“守护神”,时刻守在麻麻身边。
“和它在一起我很开心,很希望它能再陪我8年,无法想象它离开时我会怎样,如果它走了,这辈子我也不会再养别的狗了……”麻麻深情的说。

怎么不是呢!
你倾其一生陪伴我,我付诸一世守护你!
