入院:2019.2.25   出院:术后一周姓名: 阿呆
狗龄: 10岁
品种:串串
就诊时间:2019年2月25日
基本病情:慢性呕吐,体重骤降,瘦弱
就诊当天证件照
▼
©️由C.A.H爱侣宠物医院提供
2019年2月25日,10岁的串串阿呆,被主人抱到爱侣宠物医院就诊。刚见到阿呆的时候,小编吓了一跳,它像一位饱经风霜、瘦到皮包骨的老人,坍塌在病床上,两只眼睛无神地垂下来,一点儿精神也没有,透过那双深不见底的眼睛,我感受到了它此刻很痛苦。

据主人描述:阿呆呕吐已经长达半年,近两个月来,病情越发严重,每天多次呕吐,时而吐食物,时而吐呈咖啡色泡沫状黏液。原本体重31斤的他,近期以肉眼可见的速度,迅速消瘦至21斤。
就诊当天,阿呆的身体状况非常不理想,很少量的进食,即便是喝水,也会继续吐出来。此前,主人曾带它到家附近的医院就诊过,吃药、注射后,一周内没有好转,主人心急如焚四处寻医。经过养宠朋友介绍,辗转到爱侣宠物医院兽医 CT/MRI 中心,希望借助高端 CT 检查,确诊病因。

“背景资料卡” 首家私营CT及MRI高端兽医影像中心: 爱侣动物医院影像中心按照国际标准设计,使用16排新款美国GE医院生产的电脑螺旋断层扫描成像系统(computerized tomography),俗称CT机,同专用于动物的磁共振MRI(Magnetic Resonance Image)。除犬猫等宠物外,还为貂、兔、龟等稀有宠物及动物园野生动物提供影像诊断服务。   CT及MRI临床应用: ·神经内科疾病:癫痫、抽搐、偏瘫、瘫痪; ·脊柱及神经外科:椎间盘突出症及脊柱外伤; ·肿瘤类疾病诊断:胸腔、腹腔肿瘤、脑部肿瘤; ·耳鼻喉、牙科疾病; ·高端体检、早期疾病诊断; © C.A.H 爱侣宠物医院


呕吐的原因有很多种。腹腔内的任何脏腑问题都会导致呕吐。院长杨其清博士在详细了解阿呆病史后,认为上消化道堵塞的可能性大。建议先做腹部超声检查,如果找到病因,就不需要再做CT了。一方面避免CT扫描的昂贵费用,另一方面,可以避免麻醉风险。
 
▲DR(数字X线摄片)检查
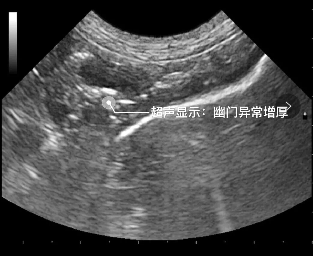
DR及B超检查结果显示:阿呆胃扩张,内部有大量积液,以及十二指肠部位有肿块,医生初步诊断为堵塞性呕吐。

▲超声显示-幽门异常增厚
为了进一步确诊,医生决定对阿呆进行开腹探查手术。
鉴于阿呆的年龄较高,主人担心麻醉风险,院长杨其清博士为阿呆进行全面的血液、生化及心脏超声检查后,评估麻醉是安全的,可以接受2个小时的手术。
考虑到阿呆严重呕吐,身体严重脱水,为了降低老年犬的麻醉风险,先为它输液纠正脱水后再进行麻醉手术。
麻醉风险同意书的签字很多主人非常纠结,担心意外的发生。院长客观而专业的解说下,主人最终同意手术。

▲爱侣宠物医院院长杨其清博士
一小时后,由院长杨其清博士领衔的手术小组,为阿呆进行剖腹手术。
果然不出所料!打开腹腔后,胃的出口——幽门处有2公分乘以3公分的肿块。因为堵塞,食物和水无法进入肠道消化,造成阿呆不能正常吸收营养,导致他体格消瘦。
因此,医生为阿呆进行胃十二指肠吻合术——在十二指肠和胃之间另辟蹊径,重新开口让食物流入肠道内,从而降低呕吐次数,改善体质。同时做了肿块活组织检查,它有可能是良性的肉芽肿,也可能是恶性肿瘤,检查结果出来以后再进行下一步治疗。

▲胃十二指肠吻合术
整个手术过程很顺利,术后次日阿呆的精神明显好转,正常进食,停止呕吐,期待一周后的活组织检查结果是良性。

▲阿呆表现太棒了!
分享到: